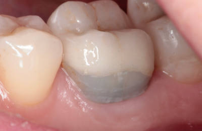
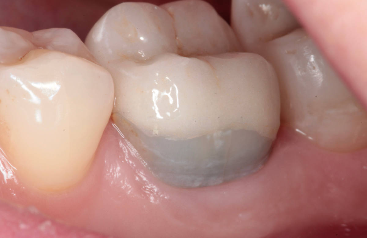
U nás v zubnom laboratóriu HAPPYDENT máte vďaka technológie CAD/CAM k dispozícií Onlay, Inlay, Overlay výplne, ktoré sú najvyššou zárukou kvality.
Kompozitná inlay, onlay, overlay
CERASMART inlay, onlay, overlay
Keramická inlay, onlay, overlay e.max presované
Keramická inlay, onlay, overlay e.max frézované



