Fixná "podmienečne snímateľná" zubná náhrada (demontovať je možné len v zubnej ambulancii) na implantátoch je jedným z typov zubných náhrad. Je upevnená v ústnej dutine pomocou takzvaných multi-unit abutmentov. Vďaka skrutkovanej fixácii je možné náhradu alebo mostík nasadzovať a vyberať rýchlo a bez poškodenia okolitých mäkkých tkanív a kosti. Na tento účel sa používajú špeciálne nástroje, zákrok môže vykonávať iba špecialista v stomatologickej ambulancii.
V laboratóriu HAPPYDENT ponúkame rôzne konštrukcie vyhotovenia náhrad pre hlavné typy podmienečne snímateľných zubných náhrad:
All-on-4 — je konštrukcia na štyri implantáty s titánovým mostíkom a skrutkovanou fixáciou. Dočasné korunky sa nasadzujú podľa protokolu pre okamžité zaťaženie, môžu byť zafixované hneď po operácií alebo do týždňa po zavedení implantátov. Naše laboratórium vám poskytne dočasné konštrukcie presne načas, a to z pevného živicového materiálu, prípadne vystužené kovom.
All-on-6 — je konštrukcia na šesť implantátov s titánovou mostíkovou priečkou a skrutkovanou fixáciou. Nasadzuje sa podľa protokolu pre okamžité zaťaženie. Vylepšená technika protetiky na implantátoch má oproti systému All-on-4 množstvo výhod. Vďaka šiestim pilierom zubná náhrada vydrží veľké zaťaženie, môže sa rozdeliť aj na viacero mostíkov, fixácia v bočnej časti je spoľahlivejšia, pretože v distálnej časti na mieste stoličiek sa nachádza ďalší implantát.
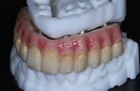
Mostíky skrutkované k implantátom pozostávajú z titánovej alebo chróm-kobaltovej základnej konštrukcie, precízne vyfrézovanej v zubnom laboratóriu HAPPYDENT. Spracovávajú sa tak, že sa na ne vrstvia ďalšie materiály, a to buď keramika alebo kompozit, kde sa pre dosiahnutie výsledku prirodzene vyzerajúcich zubov musí použiť ručná umelecká práca našich laborantov.
Umelé zuby sa vyrábajú z kvalitne spracovaného viacvrstvového kompozitu, na ďasná sa používa takzvaná červená estetika – akryl, kompozit alebo nylon. Titánová priečka v tvare podkovy pridáva dodatočnú pevnosť.
Kompozit je odolný materiál, ktorého technológia výroby poskytuje nízky stupeň opotrebenia. Je dokonale estetický. Nie je náchylný na zafarbenie potravinami. Ľahko sa obnoví, keď sa na ňom objavia trhliny, dá sa zrenovovať bez sňatia mostíka.





