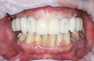
V našom laboratóriu HAPPYDENT vyrábame dočasné korunky a konštrukcie, t. j. na prechodné obdobie, rýchlo a individuálne. V štandardnom prípade by sa mali považovať za dočasné riešenie pred definitívnou prácou.
Indikácie pre dočasnú protetiku.
- Projekčná vizualizácia tvaru, postavenia a farby zubov pre zhotovenie správnej trvalej práce.
- Obnovenie dikcie a estetiky zuboradia v čase výroby definitívnej náhrady.
- Obnova funkcie zuboradia.
- Zabránenie posunu vedľajších a protiľahlých zubov smerom k chýbajúcemu zubu.
- Korekcia správneho zhryzu pred výrobou definitívnej práce, ktorú nie je možné opraviť.
- Pri vykonávaní protetiky na implantátoch zabezpečenie minimálneho zaťaženia kosti na stimuláciu procesov vyhojenia a ochrany rany pred infekciou.
Snímateľné dočasné konštrukcie
- dočasná protéza pred implantáciou
- provizórium pri bezzubej čeľusti alebo sánke
- dočasná protéza po implantácii
Nesnímateľné dočasné konštrukcie





