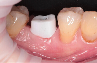
Abutment je „nadstavec“ medzi koreňovou a korunkovou časťou náhrady na implantátoch. V podstate imituje tú časť zuba, ktorá bola upravená na korunku.
V našom inovatívnom zubnom laboratóriu HAPPYDENT navrhujeme abutmenty individuálne s využitím najmodernejšieho CAD softvéru podľa stavu ústnej dutiny pacienta a frézujeme ich vo svojej vlastnej výrobe.
Individuálny abutment sa zhotoví podľa odtlačku alebo intraorálneho 3D skenu ústnej dutiny pacienta. Na rozdiel od priemyselne vyrábaného dielu, individuálny abutment má prirodzený vzhľad a podobá sa na skutočný zub upravený na korunku.
Ak sa zhotovenie zubnej náhrady pre vášho pacienta komplikuje patologickými zvláštnosťami zuboradia, príliš nízkym alebo vysokým alveolárnym hrebeňom, použitie individuálneho abutmentu je priamou indikáciou.
Pri použití individuálneho abutmentu dochádza k presnej zhode okraju ďasná a spojenia abutmentu s korunkou. To umožňuje vytvoriť prirodzenú líniu ďasna bez ďalších chirurgických zákrokov.
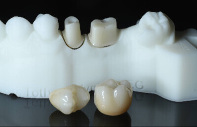
Anatomicky optimálny tvar abutmentu zároveň umožňuje, aby aj korunka, vyrobená pre pacienta, mala prirodzenejší tvar. Korunka dokonale zapadne bez akejkoľvek námahy a bezpečne sa pripevní na abutment.
Individuálny zirkónový abutment umožňuje dosiahnuť maximálnu estetiku protetiky vďaka farbe, ktorá je na nerozoznanie od farby prirodzeného pahýľa zuba.





