HAPPYDENT LAB: pracujeme pre vás

PORTFÓLIO A PRÍPADY

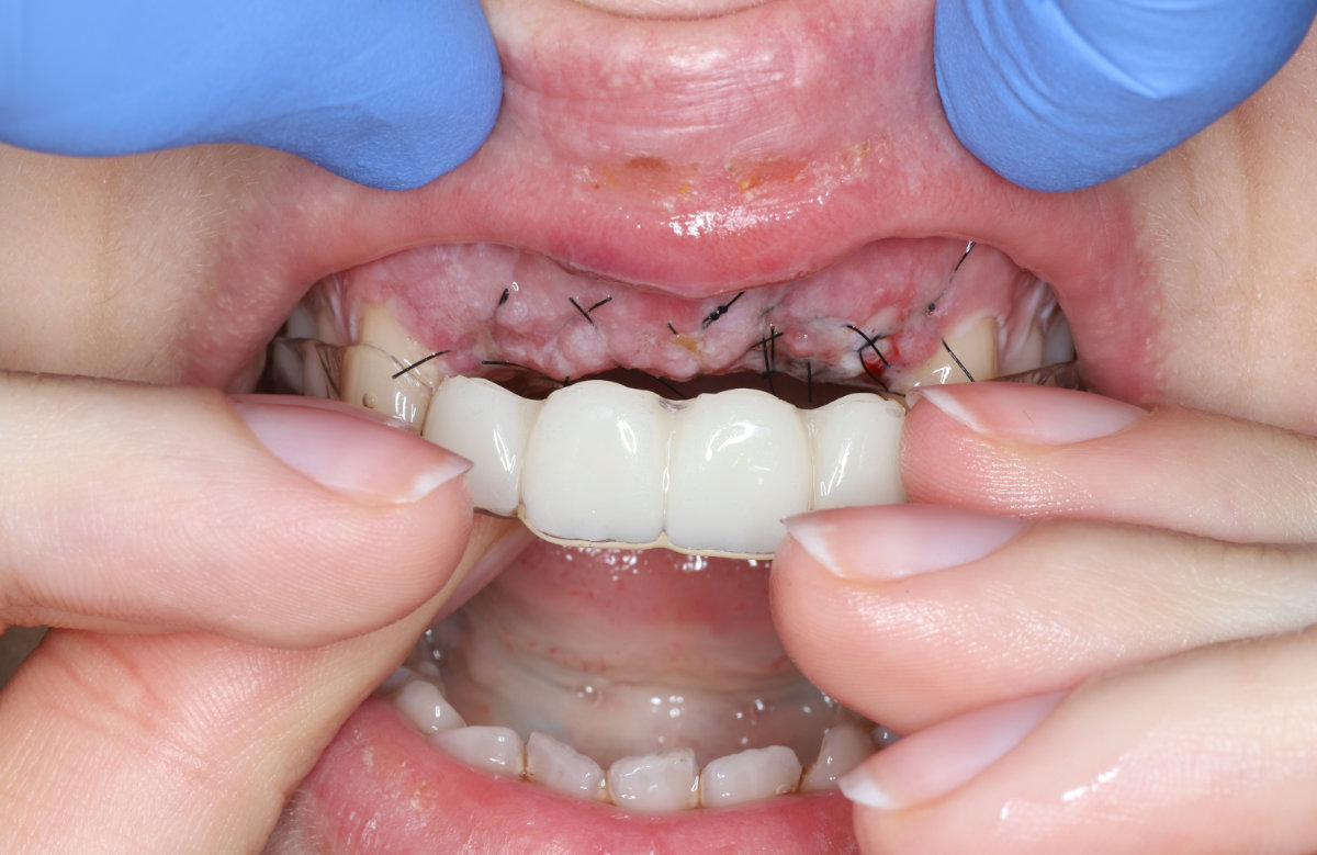
Dočasné riešenie pomocou priesvitnej fólie po augmentácii kosti

PORTFÓLIO A PRÍPADY

Dočasné riešenie pomocou priesvitnej fólie po augmentácii kosti

 
Autor práce Dr. Michal Repaši
Zubný technik Vasil Csopej

Date

21. január 2022

Tags

Dočasné riešenie

Kontakt

Protifašistických bojovníkov 11
Košice-Staré Mesto 040 01

+421940123555
lab@happydent.clinic
Vyplňte prosím pole E-mail