HAPPYDENT LAB: pracujeme pre vás

PORTFÓLIO A PRÍPADY

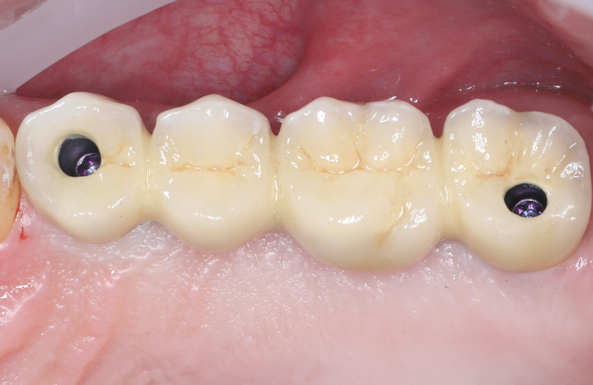
Frézovaný kovokeramický mostík s priamym dosadnutim na multi unit abutment

PORTFÓLIO A PRÍPADY

Frézovaný kovokeramický mostík s priamym dosadnutim na multi unit abutment

 
Autor práce Dr. Michal Repaši
Zubný technik Vasil Csopej

Date

21. január 2022

Tags

Zubná protetika na implantátoch

Kontakt

Protifašistických bojovníkov 11
Košice-Staré Mesto 040 01

+421940123555
lab@happydent.clinic
Vyplňte prosím pole E-mail