HAPPYDENT LAB: pracujeme pre vás

PORTFÓLIO A PRÍPADY

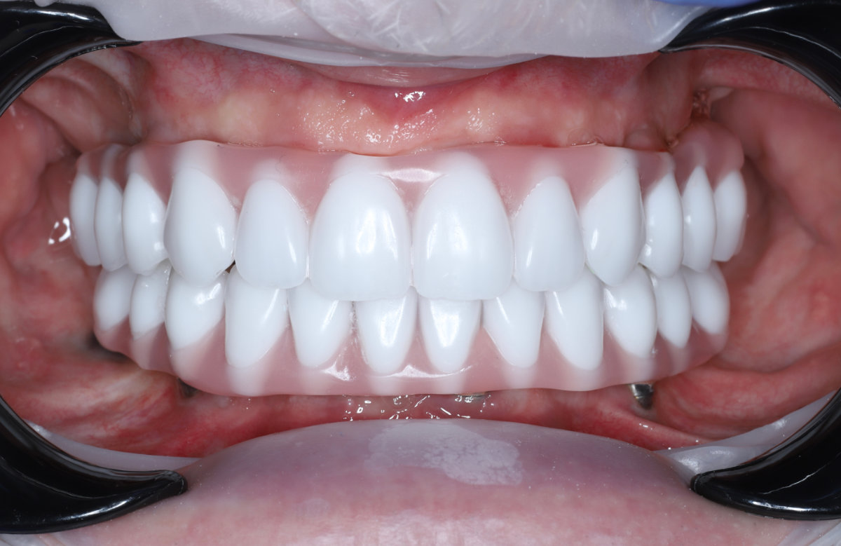
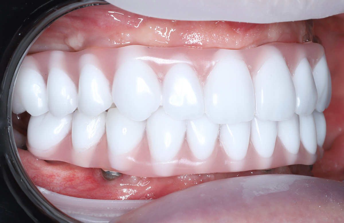
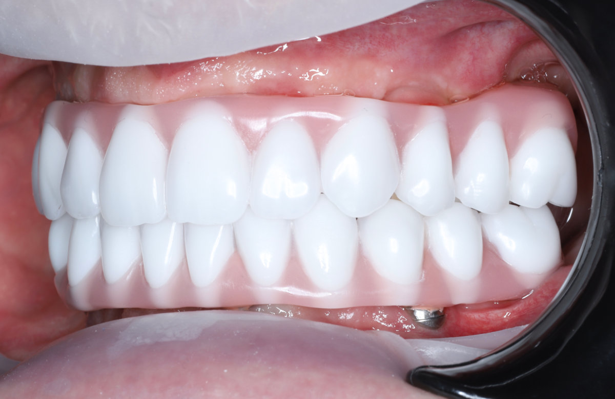
All on 4/6/8 frézovaná titánová priečka, kompozitné zuby, živicová čast' gingivy

PORTFÓLIO A PRÍPADY

All on 4/6/8 frézovaná titánová priečka, kompozitné zuby, živicová čast' gingivy

 
Autor práce Dr. Michal Repaši
Zubný technik Vasil Csopej

Date

21. január 2022

Tags

ALL ON 4/6/8, Kompozitné zuby

Kontakt

Protifašistických bojovníkov 11
Košice-Staré Mesto 040 01

+421940123555
lab@happydent.clinic
Vyplňte prosím pole E-mail