HAPPYDENT LAB: pracujeme pre vás

PORTFÓLIO A PRÍPADY

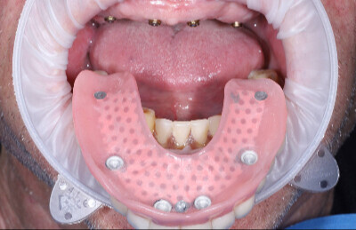
Snímateľné náhrady na lokátoroch

PORTFÓLIO A PRÍPADY

Snímateľné náhrady na lokátoroch

Autor práce Dr. Michal Repaši
Zubný technik Vasil Csopej

Date

23. september 2021

Tags

Snímateľné náhrady

Kontakt

Protifašistických bojovníkov 11
Košice-Staré Mesto 040 01

+421940123555
lab@happydent.clinic
Vyplňte prosím pole E-mail