HAPPYDENT LAB: pracujeme pre vás

PORTFÓLIO A PRÍPADY

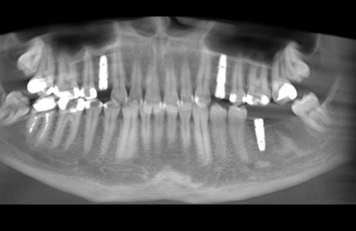
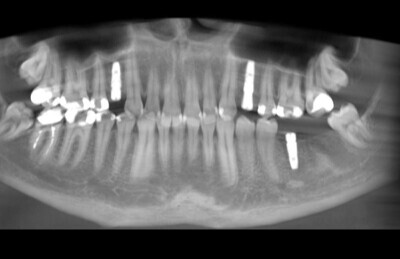
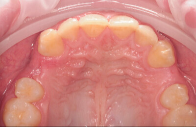
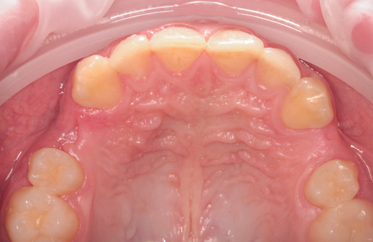
Navigovaná chirurgia, 3 implantátov

PORTFÓLIO A PRÍPADY

Navigovaná chirurgia, 3 implantátov

Autor práce Dr. Michal Repaši
Zubný technik Vasil Csopej

Date

23. september 2021

Tags

Navigovaná chirurgia

Kontakt

Protifašistických bojovníkov 11
Košice-Staré Mesto 040 01

+421940123555
lab@happydent.clinic
Vyplňte prosím pole E-mail