Autor: Dr. Michal Repaši
Poznámka autora: Táto práca bola realizovaná v spolupráci so zubným technikom Vasilom Csopejom.
Moderné digitálne technológie sa dostali do popredia, a to po celom svete. Zasiahli mnohé medicínske odbory a neobišli ani náš odbor – stomatológiu. Integrálnou súčasťou nášho pracovného života sa stali 3D technológie, počítačové softwary, digitálne skenery a taktiež presná počítačová tomografi a CBCT. Na základe týchto moderných technológií je možné zmeniť priebeh ošetrenia, zrýchliť celkový proces od prvotnej diagnostiky po ukončenie liečby, a to s úspešnou prognózou.
Poznámka autora: Táto práca bola realizovaná v spolupráci so zubným technikom Vasilom Csopejom.
Moderné digitálne technológie sa dostali do popredia, a to po celom svete. Zasiahli mnohé medicínske odbory a neobišli ani náš odbor – stomatológiu. Integrálnou súčasťou nášho pracovného života sa stali 3D technológie, počítačové softwary, digitálne skenery a taktiež presná počítačová tomografi a CBCT. Na základe týchto moderných technológií je možné zmeniť priebeh ošetrenia, zrýchliť celkový proces od prvotnej diagnostiky po ukončenie liečby, a to s úspešnou prognózou.
Klinický prípad
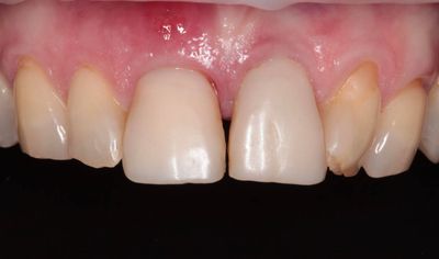
45-ročná pacientka sa obrátila na našu kliniku s bolesťou v oblasti horných stredných rezákov (obr. 1). Pri dôkladnom vyšetrení a CT diagnostike bola v oblasti zuba č. 11 zistená vertikálna fraktúra koreňa (obr. 2). V oblasti zuba č. 21 palatinálne bol prítomný hlboký kaz koreňa (obr. 3).
Jediným riešením bola extrakcia obidvoch zubov. Najväčšou obavou zo strany pacientky bola strata obidvoch predných zubov a následného fungovania bez nich pri práci s ľuďmi. Ideálnym riešením teda bola náhrada zubov implantátmi spolu s nasadením koruniek, a to počas jedného sedenia. V deň konzultácie bol pacientke urobený sken pomocou intraorálneho skeneru 3Shape TRIOS, ktorý nám umožňuje zobraziť 3D simuláciu ústnej dutiny. Pomocou softwaru 3Shape Implant Studio sme spojili dáta z intraorálneho skenu a CBCT, STL a DICOM súbory. V ďalšom kroku sme virtuálne vložili implantáty v správnej protetickej polohe, navrhli šablónu pre ich zavedenie, namodelovali individuálne abutmenty a korunky (obr. 4). Kompletné dáta sme exportovali pre frézovanie a 3D tlač. V laboratóriu sa pomocou 3D tlačiarne vytlačila chirurgická šablóna, ktorá nám slúži na presné zavedenie implantátov – použili sme implantačný systém Dentium Super Line. Následne boli vyfrézované zirkonové abutmenty a plastové dočasné korunky(obr. 5).
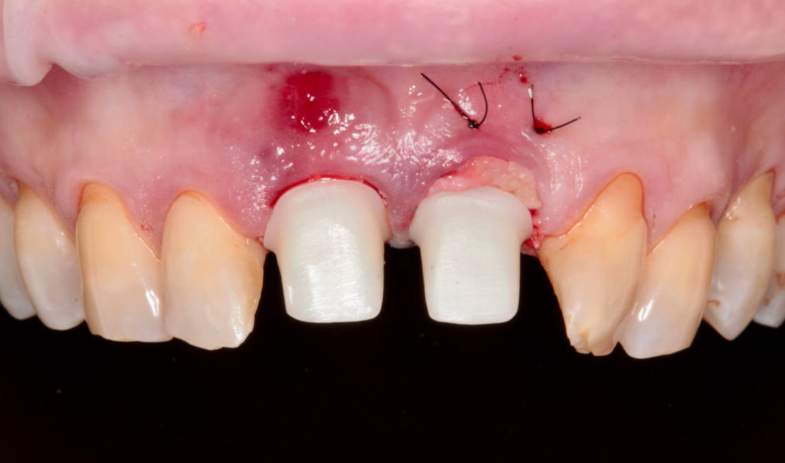
Vďaka týmto postupom bola operácia veľmi rýchla a pacientka odišla z ordinácie plne rehabilitovaná. Minimálne invazívnym spôsobom boli extrahované horné jednotky (obr. 6).
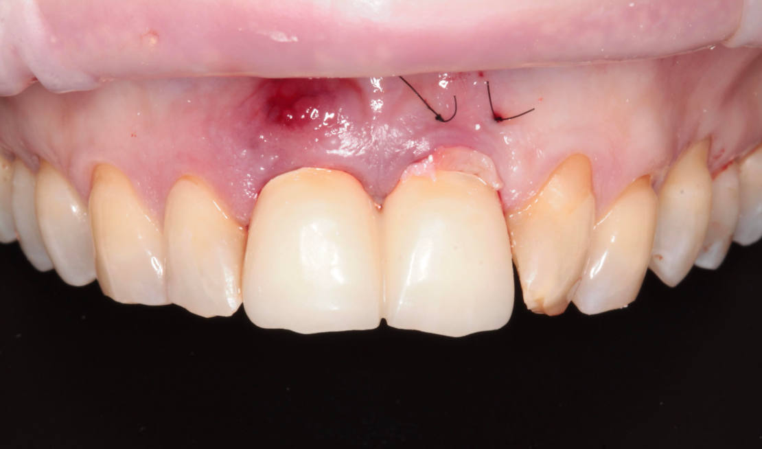
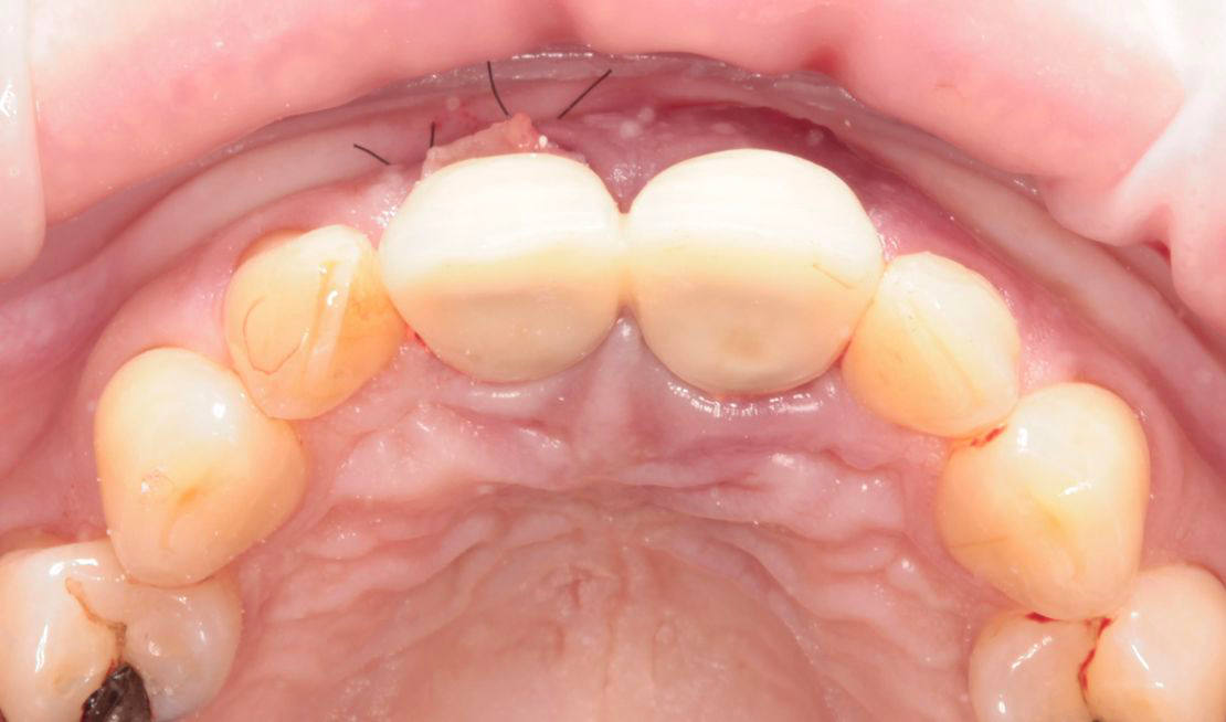
Následne sme použili protokol vŕtania a zavedenia implantátov cez šablónu (obr. 7, 8), na ktorej sme mali orientačné body pre správne napolohovanie implantátov, abutmentov a koruniek (obr. 9–14).
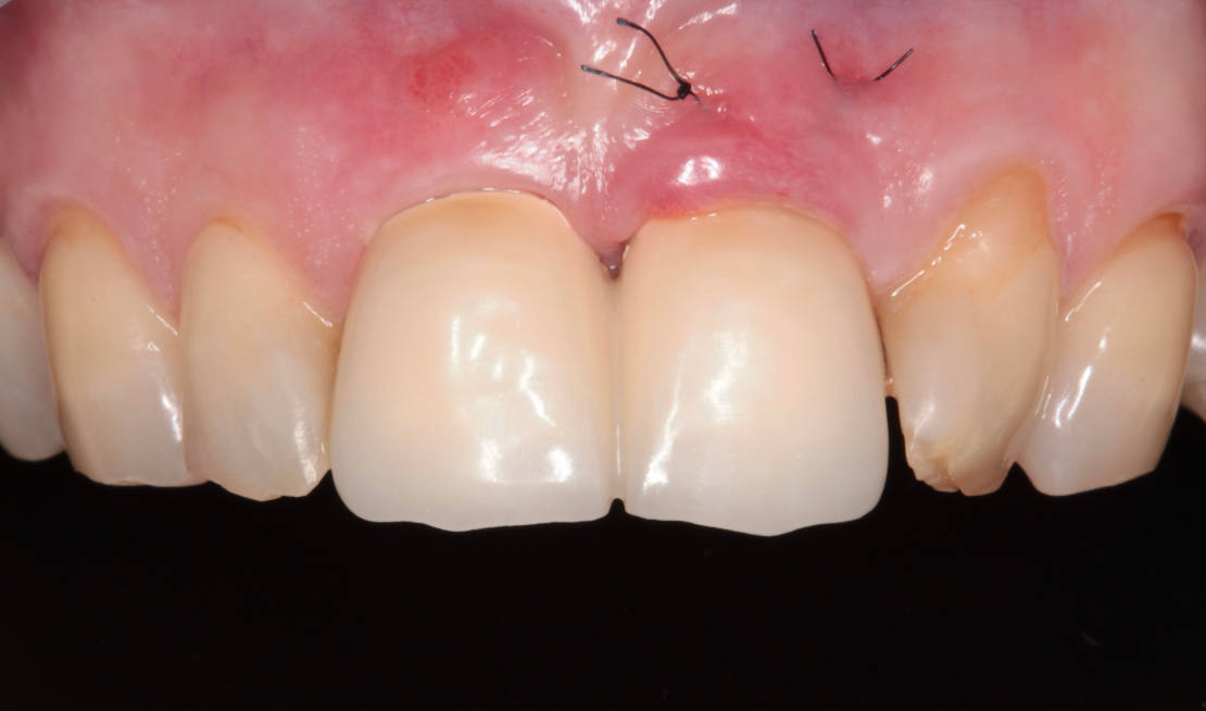
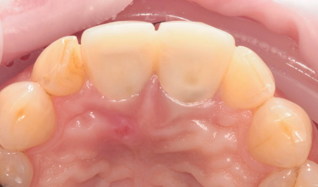
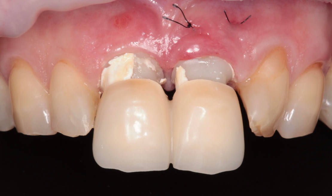
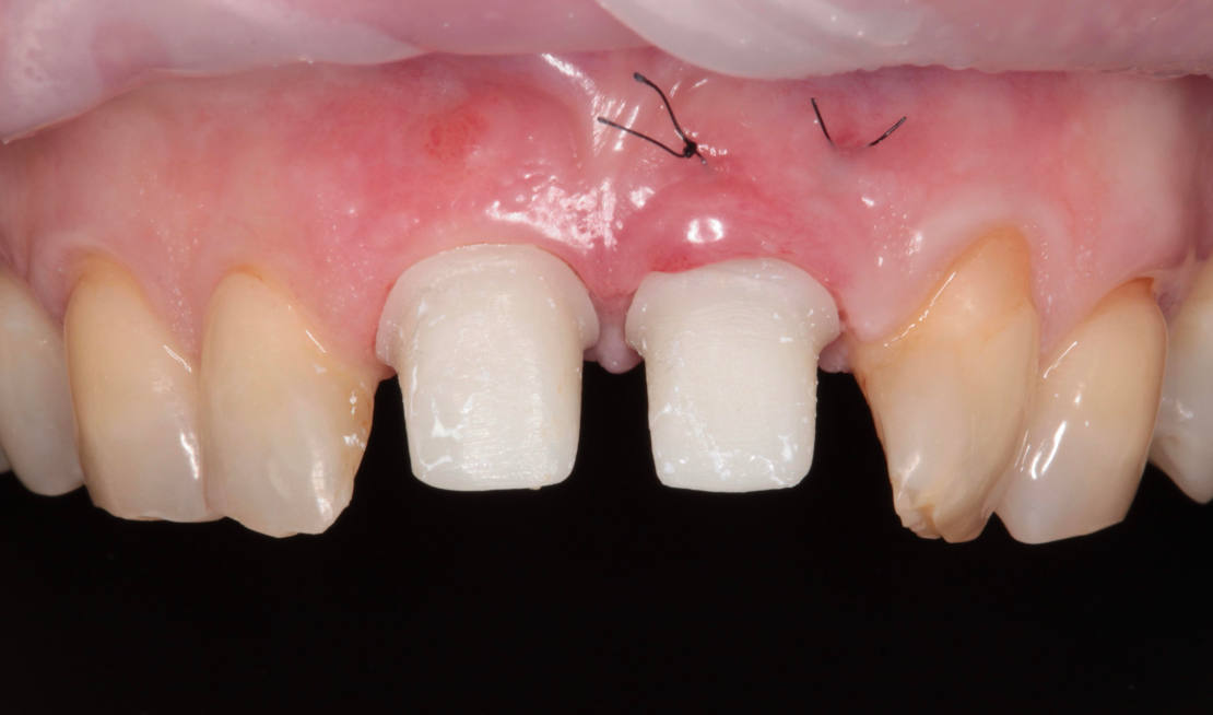
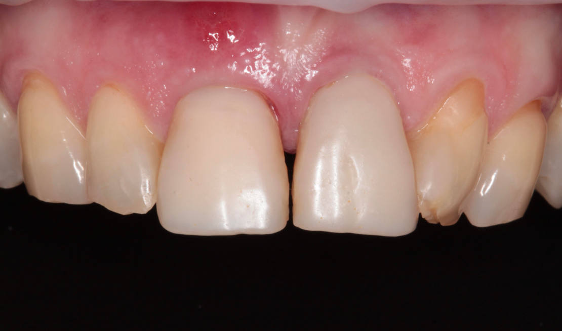
Kontrola po 10 dňoch (obr. 15–19).
Posledné štúdie častejšie vedú k tomu, že z klinického hľadiska je stále preferovaný koncept jedného abutmentu, ktorý musí byť trvalý, nasadený hneď po implantácii a zostať v ústnej dutine až do nasadenia trvalej práce. Zachovanie prvotného prichytenia gingívy k protetickým komponentom má podstatný význam, najmä pri okamžitom zavedení implantátov po extrakcii zubov. Viacnásobné nasadenie a odstránenie protetických častí vedie k poškodeniu marginálnej časti gingívy, čo ovplyvňuje aj resorpciu kosti okolo implantátu. Ďalšou výhodou zirkónových supraštruktúr na implantátoch je aj to, že na povrchu zirkónu sa usádza menej bakteriálneho povlaku v porovnaní s titánovými, kovovými alebo keramickými materiálmi.
Vďaka moderným technológiám využívame možnosť náhrady zubov už počas jedného sedenia s maximálnou presnosťou. Zavedenie implantátov s okamžitým zaťažením sme dosiahli vďaka:
• dizajnu samotných implantátov, vďaka ktorým sa dá dosiahnuť primárna stabilita
• CBCT diagnostike, intraorálneho skenovania
• presnosti a precíznosti frézovacích strojov
• 3D tlači
Zhrnutie
Vďaka moderným technológiám využívame možnosť náhrady zubov už počas jedného sedenia s maximálnou presnosťou. Zavedenie implantátov s okamžitým zaťažením sme dosiahli vďaka:• dizajnu samotných implantátov, vďaka ktorým sa dá dosiahnuť primárna stabilita
• CBCT diagnostike, intraorálneho skenovania
• presnosti a precíznosti frézovacích strojov
• 3D tlači




















