HAPPYDENT LAB: pracujeme pre vás

PORTFÓLIO A PRÍPADY

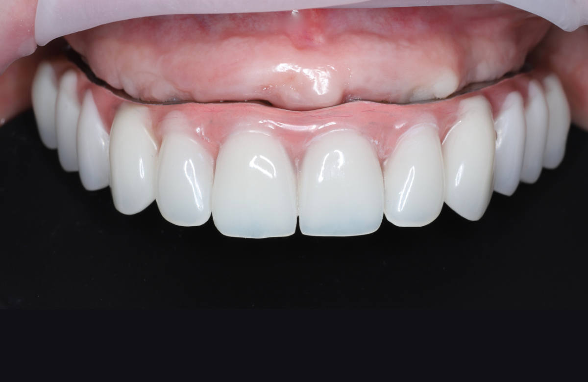
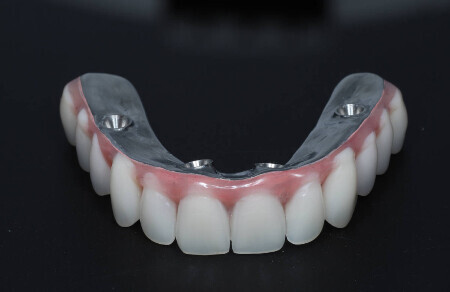
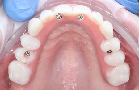
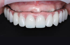
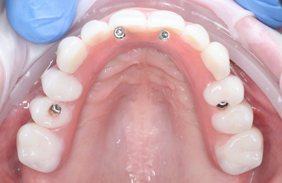
All on 4: titanová priečka a kompozitné zuby

PORTFÓLIO A PRÍPADY

All on 4: titanová priečka a kompozitné zuby

Autor práce Dr. Michal Repaši
Zubný technik Vasil Csopej

Date

22. september 2021

Tags

ALL ON 4/6/8, Kompozitné zuby

Kontakt

Protifašistických bojovníkov 11
Košice-Staré Mesto 040 01

+421940123555
lab@happydent.clinic
Vyplňte prosím pole E-mail